How would you manage this macule on the chest?
Case discussion: A new, solitary, brown macule on the chest of a 49-year-old lady who states it has arisen over the past six months. What would you do?
HealthCert Education
In this week's case discussion, submitted by A/Prof John Pyne, we look at a new, brown macule on the chest of a 49-year-old lady who states the macule has arisen over the past six months.
There was no precursor lesion and the lesion is solitary.
Please see several images below. What is your opinion here?
Dermoscopy image:

Confocal image:
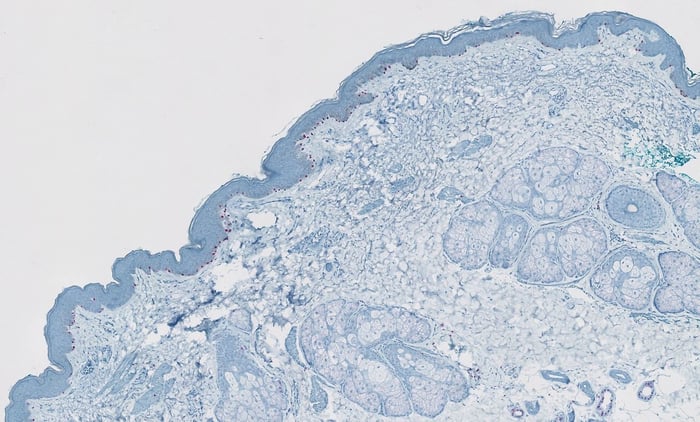
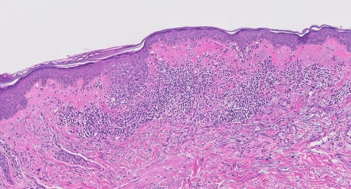
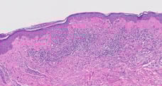
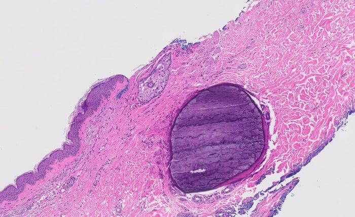
Histopathology images:
Update
This lesion actually turned out to be metaplastic bone, a benign mimic of melanoma.
Submit your own case
Would you like to obtain advice or share your experience with your colleagues and Dr Terry Harvey in the weekly blog case discussion?
Submit your case here or send details to admin@healthcert.com
CPD self-submission
Contributing to the Skin Cancer Case Discussion Blog helps meet your annual Performance Review CPD requirement.
- Submit your own case* = 1 hour CPD (Performance Review)
- Comment/engage with colleagues’ cases = 0.5 hours CPD (Performance Review)
You can self-record CPD for this blog. Quick Log CPD hours with the RACGP/ACRRM via the usual self-submission process. You will be asked to reflect on what you have learned, and you will require supporting evidence such as a screenshot. For more information, view the: RACGP CPD guide | ACRRM CPD guide
*Case must be published on the blog to qualify.
1800 867 1390
