How would you manage this fast-growing nodule?
Case discussion: How would you manage this fast-growing nodule on the forehead of a 92-year-old male patient?
HealthCert Education
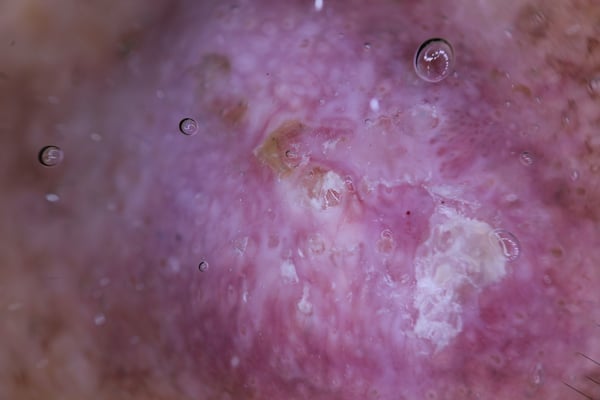
This week's case discussion, submitted by A/Prof John Pyne, features a fast-growing nodule on the left forehead of a 92-year-old male patient.
What do you think of the dermoscopy and histopathology images below?

Update
This is a case of mixed differentiation in an acantholytic squamous cell carcinoma.
Submit your own case
Would you like to obtain advice or share your experience with your colleagues and Dr Terry Harvey in the weekly blog case discussion?
Submit your case here or email details to admin@healthcert.com
CPD self-submission
Contributing to the Skin Cancer Case Discussion Blog helps meet your annual Performance Review CPD requirement.
- Submit your own case* = 1 hour CPD (Performance Review)
- Comment/engage with colleagues’ cases = 0.5 hours CPD (Performance Review)
You can self-record CPD for this blog. Quick Log CPD hours with the RACGP/ACRRM via the usual self-submission process. You will be asked to reflect on what you have learned, and you will require supporting evidence such as a screenshot. For more information, view the: RACGP CPD guide | ACRRM CPD guide
*Case must be published on the blog to qualify.
1800 867 1390